Adult Orthodontics
It's never too late for the smile you deserve. Today, 1 in 4 orthodontic patients are adults. Join the thousands of professionals who are investing in their smiles.
“The best time to straighten your teeth was 20 years ago. The second best time is now.”
800+ 5-Star Reviews
Board-Certified Specialists
Why Adults Choose Orthodontics
Your smile is an investment in yourself.
Career Confidence
A great smile makes a powerful first impression in professional settings.
Self-Esteem
Feel more confident in social situations and personal relationships.
Oral Health
Straight teeth are easier to clean and maintain long-term.
Discreet Treatment Options
Modern orthodontics offers solutions designed for professional adults.
Invisalign
The #1 choice for adult patients. Clear aligners that are virtually invisible.
- Nearly invisible
- Removable for meals
- Professional-friendly
- Comfortable
Ceramic Braces
Clear brackets that blend with your teeth for effective, discreet treatment.
- Less visible
- Effective for all cases
- Reliable results
- Comfortable
Lingual Braces
Braces placed behind your teeth for completely hidden treatment.
- Completely hidden
- Custom fit
- Effective
- Premium option
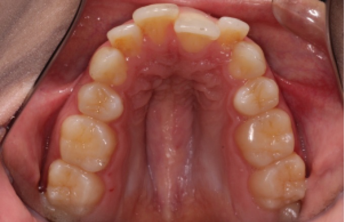
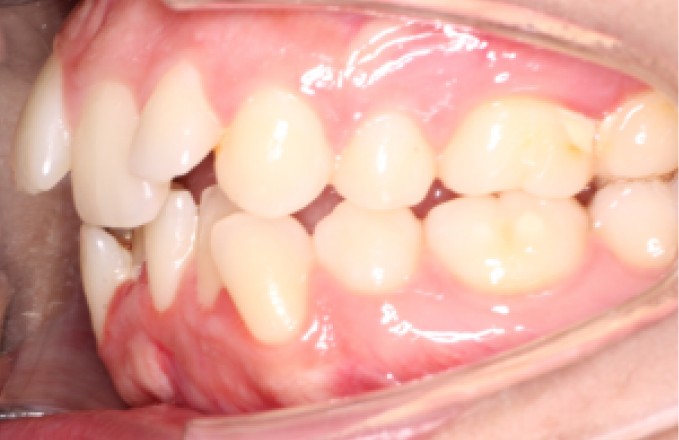
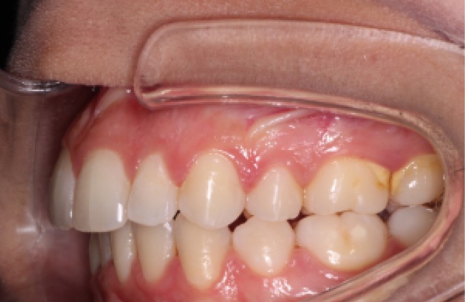
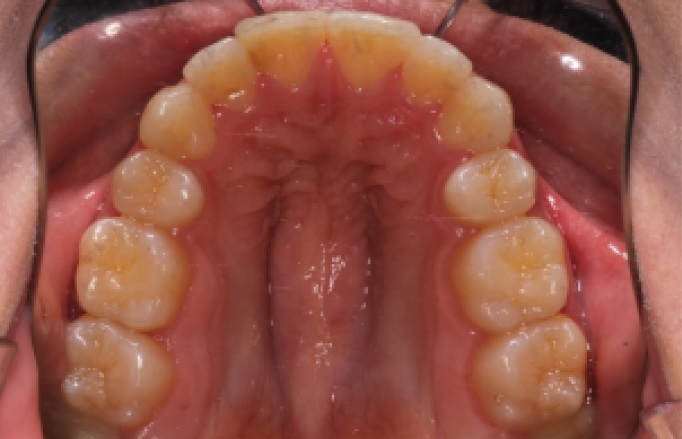
Adult Smile Transformations

10 months

10 months

6 months
Common Concerns, Addressed
Will anyone notice?
With Invisalign or ceramic braces, most people won't know you're in treatment.
Is it too late?
Healthy teeth can be moved at any age. We've treated patients in their 60s and 70s!
How long will it take?
Many adult cases take 12-18 months. Some are even faster with accelerated options.
Can I afford it?
We offer flexible payment plans and work with most insurance to make treatment accessible.
Meet Your Orthodontists
Board-certified specialists dedicated to creating beautiful smiles.
Dr. Bob Kumra, DDS
Founder & Lead Orthodontist
- Board-Certified Orthodontist
- 15+ Years Experience
- Platinum+ Invisalign Provider
Dr. Kumra is passionate about creating beautiful smiles and making every patient feel like family. With over 15 years of experience, he's helped thousands of patients achieve the smile of their dreams.
Dr. Mina Abdolahi, DDS
Orthodontist
- Board-Certified Orthodontist
- Specializes in Adult Orthodontics
- Patient-Centered Approach
Dr. Mina brings a gentle, patient-centered approach to orthodontics. She specializes in adult treatment and is dedicated to making every visit comfortable and positive.
See Our Doctors in Action
Get a feel for our fun, welcoming environment before your visit. See why patients love coming to Kumra Orthodontics!
What Adult Patients Say
Don't just take our word for it—hear from real patients.
Posted on NikkiTrustindex verifies that the original source of the review is Google. I went to Kumra Orthodontics after dealing with a dental issue that had impacted my appearance—and my confidence—for nearly a year. Due to an issue with my bite, I kept biting my lip, which caused swelling and scar tissue. It became noticeable when I ate and talked, and it honestly made me shy away from social interactions. I kept putting off seeing an orthodontist, and after this experience, I truly wish I hadn’t. My free consultation was better than I could have imagined. From the initial phone intake to the stunning, luxurious office, every single staff member was friendly, caring, and genuinely invested in making me feel comfortable. The entire experience felt thoughtful and personalized, and I walked away feeling fully informed about my care and next steps. Jessica handled my intake and X-rays and made the entire process completely stress-free. She took the time to get to know me as an individual, asked thoughtful questions about my concerns and hopes, and was clearly knowledgeable and capable. Viviana, the practice manager, is truly an angel on earth. She radiates warmth and kindness and clearly loves what she does—it shows in every interaction. I had absolutely no reservations or fear because of her care and reassurance. And Dr. Mina… I don’t even have the words. She was honest, compassionate, and incredibly thorough. I never once felt pressured into an expensive or unnecessary treatment. We reviewed my X-rays together, she answered every question, and we came up with a plan that was conservative, affordable, and effective. They also referred me to an oral surgeon to evaluate the scar tissue on my lip to determine whether it would resolve on its own or needed to be addressed. That level of care and foresight truly meant so much to me. I walked in terrified and resigned to the idea that I might need braces. Instead, after discussing my options, I ordered retainers. Viviana did my scans and talked me through everything so I felt completely at ease. They even put in a rush order so I wouldn’t have to be uncomfortable any longer than necessary. I am beyond grateful for this team and will absolutely be a lifelong patient. If you’re considering orthodontic care—don’t go anywhere else. Just go to Kumra Orthodontics.Posted on IvanTrustindex verifies that the original source of the review is Google. I did Invisalign here in 2022-2023 and absolutely loved my experience. Extremely pleasant and friendly staff and assistants. I worked with both Dr. Mina and Dr. Bob at their DC office; they have a second office location in VA and have specific days for being at a particular location throughout the week. I 'switched' providers due to my schedule changing. There were no hiccups in change management or expertise. Highly recommend! Be sure to wear any Commanders/Eagles/Giants gear during your appointments because Dr. Bob is a Cowboys guy...Posted on ElizabethTrustindex verifies that the original source of the review is Google. I had the best experience at this place. Not only were my bite issues resolved through their very diligent and attentive Invisalign process, but Dr. Kumra and his staff were also just delightful to work with. I am thrilled to be done with treatment but sad to no longer see these wonderful people regularly! Highly recommend this practice.Posted on BrianaTrustindex verifies that the original source of the review is Google. Absolutely love it here. Staff is friendly, professional, and prompt. Would 10/10 recommend for any age range.Posted on MadamTrustindex verifies that the original source of the review is Google. I had an outstanding experience at Kumra Orthodontics with Dr. Bob Kumra and his team. I initially walked in the day before my appointment, and from that first moment, the reception staff was warm, welcoming, and professional. The office is conveniently located, and I was able to secure an appointment for the very next day with absolutely no hassle. There was no unnecessary discussion about insurance or pressure around payment — instead, the intake process was easy, streamlined, and stress-free, which immediately set the tone. When I arrived for my appointment the following day, I was genuinely impressed by the flow, efficiency, and level of patient care. The experience felt so elevated that I joked to myself, “Please, I’m not the president,” because the VIP-level treatment was that noticeable. The staff knew names, transitions were seamless, and I was never left sitting or waiting unnecessarily. The cleanliness, professionalism, advanced technology, and attention to detail stood out immediately. And then there was Dr. Kumra who walked me through my treatment plan with clarity, honesty, professionalism, and kindness. He took the time to explain everything thoroughly while maintaining warmth and respect, which made me feel fully informed and confident in the care plan and alternative actions As someone who travels extensively and has experienced healthcare systems around the world, I can confidently say that Kumra Orthodontics ranks at the highest level in terms of performance, aesthetics, patient care, ethics, and overall operations. This practice sets the standard. Highly recommendedPosted on KatherinesTrustindex verifies that the original source of the review is Google. From day one to the very end, I was welcomed with nothing but warmth and care. I’m officially done with my treatment and couldn’t be happier. I love my results and my smile—truly an amazing job! Their new office is also beautiful, and I’m so glad I was able to experience their smooth transition. Thank you all so much at Kumra Orthodontist.Posted on KaoutarTrustindex verifies that the original source of the review is Google. I’ve had a truly excellent experience at this orthodontic office. From the moment you walk in, the staff is warm, attentive, and incredibly professional. Appointments are always well-organized and punctual, which I really appreciate — they’re respectful of your time while never making you feel rushed. Dr. Mina is exceptional. She is thoughtful, detail-oriented, and takes the time to explain each step of the process with care and clarity. Her expertise and calm, reassuring manner make a huge difference. Overall, the level of care, professionalism, and consistency here is outstanding. I highly recommend this office to anyone looking for high-quality orthodontic care in a supportive and well-run environment.Posted on BrookeTrustindex verifies that the original source of the review is Google. Dr. Kumra and his team are fantastic! I ended up traveling from NH to DC for a majority of my treatment and I wouldn’t have had it any other way. I was very insecure about my smile, but am much more confident now! Thank you! 😊Posted on HinaTrustindex verifies that the original source of the review is Google. My Invisalign process was amazing!! I had very high expectations and I was met with thoughtful care, communication, and professionalism. Dr. Kumra and his staff are realistic and set expectations from the start. I was nervous to start but the process was so easy and my results were even better than I imagined. Kumra Orthodontics is the real deal!!
Kumra Orthodontics is the most reviewed and top-rated orthodontist in DC and Stafford.
Google: 5.0★ (671+ reviews)
Yelp: 5.0★ (70+ reviews)
Facebook: 5.0★ (23+ reviews)
What to Expect at Your First Visit
- Tour our modern, comfortable office
- Meet Dr. Kumra or Dr. Mina for your exam
- Quick, painless 3D scan of your teeth (no impressions!)
- See a preview of your future smile
- Review your personalized treatment options
- Discuss costs, insurance, and payment plans
Your first visit typically takes about 60 minutes. You’ll leave with a clear understanding of your options and next steps.
Ready for the Smile You Deserve?
Schedule an appointment and discover how easy it is to transform your smile as an adult.